Granulomatosis Wegener dengan Antineutrophil Cytoplasmic Antibodies (ANCA) Negatif pada Laki-laki Usia 38 Tahun
Achmad Satya Negara, Harijono Kariosentono, dkk
Achmad Satya Negara, Harijono Kariosentono, dkk

Granulomatosis Wegener dengan Antineutrophil Cytoplasmic Antibodies (ANCA) Negatif pada Laki-laki Usia 38 Tahun
Sumber: Medicinus Edisi Agustus 2021 Volume 34, Issue 2
Achmad Satya Negara, Harijono Kariosentono, Endra Yustin Elistasari
Bagian/KSM Ilmu Kesehatan Kulit dan Kelamin
Fakultas Kedokteran Universitas Sebelas Maret / RSUD Dr. Moewardi, Surakarta
Abstrak
Latar belakang: Granulomatosis Wegener atau granulomatosis dengan poliangiitis adalah vaskulitis nekrotikan sistemik yang menyerang pembuluh darah berukuran kecil dan sedang. Penyakit ini sering berkaitan dengan antineutrophil cytoplasmic antibodies (ANCA). Faktor pencetus terjadinya granulomatosis Wegener antara lain faktor lingkungan, infeksi, obat-obatan dan genetik. Manifestasi klinis granulomatosis Wegener dapat berupa gejala tidak spesifik seperti nyeri otot, artralgia, demam, anoreksia dan penurunan berat badan. Wujud kelainan kulit granulomatosis Wegener dapat berupa vaskulitis leukositoklastik, purpura, ulkus dan nodul subkutan. Granulomatosis Wegener juga dapat menyerang berbagai organ.
Kasus: Seorang laki-laki berusia 38 tahun datang dengan keluhan muncul bercak kemerahan dan kaku pada wajah, tangan dan kaki. Status dermatologi pada regio fasialis tampak adanya saddle nose dan pada ekstremitas superior dan inferior tampak purpura multipel diskret. Pada pemeriksaan ANCA pasien didapatkan hasil negatif. Pemeriksaan gambaran histopatologi pada lapisan epidermis menunjukkan proliferasi padat sel-sel limfosit, perivaskular infiltrat dan sedikit sel neutrofil. Pada lapisan dermis didapatkan granuloma-granuloma yang terdiri atas banyak histiosit epiteloid dan makrofag berbuih serta pembuluh darah yang rusak dengan infiltrasi neutrofil pada dinding serta ekstravasasi eritrosit.
Diskusi: Granulomatosis Wegener merupakan penyakit autoimun langka berupa inflamasi granulomatosis pada saluran pernapasan atas dan bawah serta vaskulitis sistemik yang berhubungan dengan ANCA. Gejala yang timbul pada granulomatosis Wegener berupa gejala ringan, namun dapat berkembang progresif dengan gambaran klinis yang lebih berat. Hasil pemeriksaan ANCA negatif tidak dapat langsung menyingkirkan diagnosis granulomatosis Wegener. Terapi awal granulomatosis Wegener berupa cyclophosphamide dan glucocorticoid yang diberikan selama 3-6 bulan. Pasien menunjukkan perbaikan klinis yang cukup bermakna dengan berkurangnya purpura pada seluruh tubuh setelah pemberian terapi selama lima minggu.
Kata kunci: granulomatosis Wegener, ANCA, autoimun
Abstract
Background: Wegener’s granulomatosis or granulomatosis with polyangiitis is a systemic necrotizing vasculitis, which affects small- and medium-sized blood vessels. This disease is often associated with antineutrophil cytoplasmic antibodies (ANCA). Etiology of Wegener’s granulomatosis may originate from infectious, environmental, chemical, toxic or pharmacological triggers in people who are genetically predisposed to this autoimmune disease. The disease can present with nonspecific symptoms such as malaise, myalgia, arthralgia, anorexia, and weight loss. Skin manifestations of Wegener’s granulomatosis includes leukocytoclastic vasculitis, purpura, ulcer and subcutaneus nodul. It also known could affect different organs.
Case: A 38-year-old man came with a chief complaint of erythematous patches and stiffness on his face, body, arms and legs. The dermatological status showed a saddle nose and discrete multiple purpura on the superior and inferior extremities. ANCA examination result was negative. Histopathological examination of the epidermal layer showed dense proliferation of lymphocyte cells, perivascular infiltrates and a few neutrophil cells. In the dermis layer, there were granulomas consisting of many epitheloid histiocytes and foamy macrophages also damaged blood vessels with neutrophil infiltration on the walls and erythrocyte extravasation.
Discussion: Wegener’s granulomatosis is a rare autoimmune disease of localized granulomatous inflammation of the upper and lower respiratory tract and systemic vasculitis associated with ANCA. Symptoms that arise in Wegener’s granulomatosis are often mild at first, but may progress to a more severe clinical features. A negative ANCA examination cannot immediately rule out the diagnosis. Initial therapy for Wegener’s granulomatosis are cyclophosphamide and glucocorticoids for 3-6 months. Patient showed clinical improvement with the reduction of purpura throughout the body after five weeks treatment.
Keywords: Wegener’s granulomatosis, ANCA, autoimmune
I. PENDAHULUAN
Granulomatosis Wegener atau granulomatosis dengan poliangiitis merupakan suatu kelainan vaskulitis nekrotikan sistemik yang menyerang pembuluh darah kecil dan sedang serta berkaitan dengan antineutrophil cytoplasmic antibodies (ANCA).1 Granulomatosis Wegener termasuk dalam penyakit vaskulitis autoimun yang paling banyak ditemukan pada rentang usia 64-75 tahun dan jarang ditemukan pada anak-anak dan dewasa muda.2 Pada tahun 2014, insidensi granulomatosis Wegener diperkirakan sebesar 5-10 kasus per juta populasi di seluruh dunia, namun tidak terdapat perbedaan prevalensi berdasarkan jenis kelamin. Belum terdapat data pasti mengenai prevalensi granulomatosis Wegener di Indonesia.2,3
Etiologi granulomatosis Wegener masih belum diketahui secara pasti, namun diperkirakan berasal dari proses autoimun.4 Faktor pencetus granulomatosis Wegener antara lain faktor lingkungan, infeksi, obat-obatan dan predisposisi genetik. Faktor lingkungan pemicu granulomatosis Wegener adalah polusi, merokok, paparan terhadap substansi tertentu seperti air raksa atau silika. Granulomatosis Wegener juga diduga berhubungan dengan agen infeksi seperti bakteri, jamur atau virus pada hidung, telinga dan saluran pernapasan. Agen infeksi yang banyak menyebabkan granulomatosis Wegener adalah Staphylococcus aureus. Beberapa obat diketahui dapat menyebabkan vaskulitis yang berkaitan dengan ANCA yaitu antibiotik (cefotaxime, minocycline), antitiroid (methimazole, propylthiouracil), allopurinol, cocaine, phenytoin dan clozapine. Profil ANCA merupakan faktor patogenik dalam proses inflamasi yang mendasari vaskulitis nekrotikans. Hasil pemeriksaan ANCA bergantung pada onset dan luas penyakit granulomatosis Wegener.11 Pada kasus ini, didapatkan hasil negatif pada hasil pemeriksaan ANCA pasien, hal ini mungkin disebabkan karena gejala klinis pasien terjadi pada onset awal dan bersifat relatif ringan. Pasien granulomatosis Wegener yang mengalami gejala saluran pernapasan atas atau bentuk ringan sekitar 40% umumnya memiliki ANCA negatif. Granulomatosis Wegener juga diperkirakan berhububungan dengan faktor genetik.3 Penelitian Sarsat dan Thieblemont (2018) melaporkan polimorfisme gen yang memberikan kode α1-antitrypsin dan proteinase (PR) 3 pada pasien granulomatosis Wegener.5
Manifestasi klinis granulomatosis Wegener dapat berupa gejala tidak spesifik seperti nyeri otot, artralgia, demam, anoreksia dan penurunan berat badan.6 Kelainan ini juga dapat menyerang berbagai organ seperti saluran pernapasan, ginjal, mata dan sistem saraf pusat.7 Granulomatosis Wegener dapat dibedakan menjadi dua yaitu bentuk umum dan bentuk terbatas. Pada bentuk umum terdapat triad klasik yaitu vaskulitis, glomerulonefritis dan keterlibatan saluran napas, sementara pada bentuk terbatas tidak terdapat keterlibatan ginjal.2 Gejala saluran pernapasan atas pada pasien granulomatosis Wegener dapat berupa peradangan pada hidung, hidung tersumbat, nyeri pada hidung, rinitis dan saddle nose.2,8 Ujud kelainan kulit dapat ditemukan pada 16-77% pasien granulomatosis Wegener berupa vaskulitis leukositoklastik, purpura, ulkus dan nodul subkutan.9,10 Kriteria American College of Rheumatology (ACR) tahun 1990 digunakan untuk menegakkan diagnosis granulomatosis Wegener meliputi (1) keterlibatan sinus seperti adanya sekret dari hidung, (2) terdapat nodul, infiltrasi atau kavitas dari pemeriksaan rontgen toraks, (3) hematuria dan (4) pada pemeriksaan histopatologi terdapat granuloma.2,8 Gambaran histopatologi lesi kulit granulomatosis Wegener dapat menunjukkan fokus granulomatosus, nekrosis, debu nuklear, sel plasma dan infiltrasi eosinofil.12 Pasien pada kasus ini mengeluhkan munculnya bercak kemerahan disertai bengkak dan kekakuan pada wajah, tangan dan kaki. Pasien juga melaporkan adanya demam, hidung tersumbat, rinore dan nyeri sendi. Pemeriksaan penunjang yang dapat digunakan untuk mendiagnosis granulomatosis Wegener antara lain pemeriksaan ANCA, biopsi histopatologi, dan pemeriksaan radiologi. 2
Terapi granulomatosis Wegener terbagi menjadi dua fase, yaitu fase awal dan fase pemeliharaan.1 Terapi awal granulomatosis Wegener berupa cyclophosphamide dan glucocorticoid selama 3-6 bulan dilanjutkan dengan fase pemeliharaan selama 12-24 bulan. Beberapa alternatif terapi meliputi methotrexate, azathioprine dan mycophenolate mofetil.6,13 Pada pasien ini diagnosis granulomatosis Wegener ditegakkan berdasarkan manifestasi klinis berupa purpura multipel diskret dan saddle nose serta pada pemeriksaan histopatologi ditemukan gambaran granuloma. Terapi corticosteroid dan immunosuppressant yang diberikan pada pasien menghasilkan perbaikan klinis yang cukup bermakna setelah 5 minggu. Pasien granulomatosis Wegener berusia lanjut dengan insufisiensi renal mempunyai prognosis yang buruk.14 Berdasarkan uraian tersebut tujuan pelaporan kasus ini adalah untuk menegakkan diagnosis granulomatosis Wegener sehingga dapat dilakukan tata laksana yang tepat.
II. KASUS
Pasien laki-laki bernama Tn. F, berusia 38 tahun, berdomisili di Karanganyar, merupakan konsulan bagian penyakit dalam ke bagian Ilmu Kesehatan Kulit dan Kelamin RSUD Dr. Moewardi (RSDM) Surakarta dengan keluhan muncul bercak kemerahan. Berdasarkan hasil autoanamnesis riwayat penyakit sekarang, pasien mengeluhkan munculnya bercak kemerahan serta pengelupasan pada wajah, tangan dan kaki sejak 3 bulan yang lalu. Dua bulan kemudian kemerahan kulit semakin meluas disertai bengkak serta kekakuan pada tangan dan kaki sehingga sulit untuk digerakkan. Tujuh hari sebelum masuk rumah sakit pasien mengeluh demam, hidung tersumbat, keluar cairan bening dari hidung, serta tangan dan kaki terasa nyeri jika digerakkan. Keluhan pasien dirasakan belum membaik setelah berobat ke puskesmas, kemudian pasien memeriksakan diri ke instalasi gawat darurat (IGD) RSDM Surakarta untuk pemeriksaan lebih lanjut. Hasil anamnesis riwayat penyakit terdahulu pasien tidak pernah mengalami sakit kulit serupa sebelumnya, tidak memiliki riwayat alergi dan atopi, tetapi memiliki riwayat diabetes melitus namun tidak rutin mengonsumsi obat. Tidak ada anggota keluarga yang mengalami sakit kulit serupa dengan pasien. Pasien memiliki kebiasaan merokok sebanyak 4 batang per hari selama lebih dari 10 tahun.
Hasil pemeriksaan fisik didapatkan keadaan umum pasien kesadaran compos mentis, tinggi badan 165 cm, berat badan 60 kg, dan tanda vital pasien dalam batas normal. Status dermatologi regio fasialis tampak purpura multipel diskret dan pada hidung tampak saddle nose. Regio ekstremitas superior dan inferior tampak purpura multipel diskret dengan sklerodaktili pada tangan (gambar 1). Pada pemeriksaan fenomena Raynaud didapatkan hasil suhu tangan kembali ke normal lebih dari 20 menit, sedangkan pemeriksaan sensoris dengan kapas dan jarum pada kedua tangan didapatkan hipoestesia. Berdasarkan anamnesis dan pemeriksaan fisik, pasien kami diagnosis banding dengan granulomatosis Wegener, skleroderma sistemik dan kusta.

Gambar 1. Status lokalis. (A-C) Regio fasialis tampak purpura multipel diskret (panah biru) dan saddle nose (panah hijau), (D-J) Regio ekstremitas superior dan inferior tampak purpura multipel diskret (panah biru) dan pada kedua tangan didapatkan sklerodaktili (panah kuning).

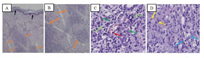
Gambar 2. Pemeriksaan histopatologi dengan pewarnaan hematoxylin dan eosin (HE). (A) Pada lapisan epidermis tampak pendataran rete ridges (panah hitam) dan pada lapisan dermis tampak granuloma (panah oranye) (HE, 4x). (B) Pada lapisan dermis tengah hingga bawah tampak granuloma multipel (panah oranye) (HE, 4x). (C-D) Pada lapisan dermis tampak infiltrasi neutrofil pada dinding pembuluh darah (panah merah), ekstravasasi eritrosit (panah hijau tua), infiltrat sel radang perivaskuler dengan dominan limfosit (panah hijau muda), sel histiosit epiteloid (panah kuning) dan makrofag berbuih (panah biru) (HE, 40x).
Pada pasien dilakukan pemeriksaan penunjang slit-skin smear cuping telinga dan area lesi, dan hasilnya tidak didapatkan bakteri tahan asam. Pemeriksaan ANCA dan antinuclear antibodies (ANA) pada pasien menunjukkan hasil negatif. Pada pemeriksaan ultrasonografi (USG) didapatkan parenchymal kidney pada kedua ginjal. Pemeriksaan biopsi histopatologi diambil dari jaringan kulit tangan dengan pewarnaan hematoxylin dan eosin (HE). Pada pemeriksaan gambaran histopatologi lapisan epidermis tampak proliferasi padat sel-sel limfosit, perivaskular infiltrat dan sedikit sel neutrofil. Pada lapisan dermis didapatkan granuloma-granuloma yang terdiri atas banyak histiosit epiteloid dan makrofag berbuih serta pembuluh darah yang rusak dengan infiltrasi neutrofil pada dinding serta ekstravasasi eritrosit (gambar 2). Pada pemeriksaan kultur sekret hidung pada pasien ditemukan adanya bakteri S. aureus dan pada pemeriksaan diaskopi pada regio fasialis dan ekstremitas superior dan inferior didapatkan hasil positif (nonblanching). Berdasarkan hasil anamnesis, pemeriksaan fisik, pemeriksaan laboratorium, dan histopatologi, pasien kami diagnosis kerja dengan granulomatosis Wegener.
Pasien diberikan terapi dengan topical corticosteroid mometasone furoate 0,1% sehari dua kali pada area lesi kemerahan dan urea 10% pada area seluruh tubuh. Terapi dari bagian penyakit dalam antara lain infus NaCl 0,9% 20 tpm, ampicillin intravena 1 g tiap 6 jam, methylprednisolone intravena 62,5 mg tiap 12 jam, paracetamol 500 mg tiap 8 jam, KSR 600 mg tiap 8 jam, CaCO3 tablet tiap 8 jam, gabapentin 300 mg tiap 8 jam, dan azathioprine 50 mg tiap 12 jam.
III. PEMBAHASAN
Granulomatosis Wegener merupakan salah satu penyakit autoimun langka berupa inflamasi granulomatosis pada saluran pernapasan atas dan bawah disertai vaskulitis sistemik.11 Prevalensi keseluruhan granulomatosis Wegener di Eropa, Inggris dan Jepang berkisar antara 20-160 kasus per juta populasi dengan insidensi puncak ditemukan pada usia dekade keempat hingga keenam, dapat ditemukan pada berbagai jenis ras, dan tidak terdapat perbedaan prevalensi dari jenis kelamin pada granulomatosis Wegener.15,16,17 Pasien pada kasus ini berjenis kelamin laki-laki dengan usia 38 tahun.
Etiologi granulomatosis Wegener belum diketahui secara pasti namun diperkirakan bersifat idiopatik dan disebabkan oleh satu atau lebih antigen seperti infeksi atau paparan terhadap lingkungan terutama pada pasien dengan faktor predisposisi genetik.18 Staphylococcus aureus merupakan bakteri yang paling sering ditemukan pada penderita granulomatosis Wegener, di mana infeksi saluran pernapasan atas terjadi sebelum gejala awal granulomatosis Wegener.19 Invasi bakteri S. aureus pada saluran pernapasan menyebabkan proliferasi sel T dan sel B, sekresi imunoglobulin, serta pelepasan cytokines.20 Pelepasan cytokine interleukin (IL)-1 dan tumor necrosis factor alpha (TNF-α) menyebabkan pelepasan proteinase (PR)3 dan reactive oxygen species (ROS) sehingga terjadi kerusakan oksidatif dan proteolitik pada sel endotel vaskular.19 Staphylococcus aureus juga melepaskan protein dengan urutan peptida yang meniru rantai gen PR3. Antibodi yang beredar pada rantai gen PR3 kemudian bereaksi silang dengan urutan antipeptida PR3 sehingga berfungsi sebagai autoantibodi. Penelitian in vitro menunjukkan bahwa ANCA yang mengikat dan mengaktifkan neutrofil akan menyebabkan pelepasan oksigen radikal, cytokine proinflamasi serta dapat membentuk kompleks imun. Hal ini akan membunuh sel endotel vaskular secara langsung sehingga terjadi vaskulitis.20 Pasien pada kasus ini mengeluh hidung tersumbat dan keluar cairan dari hidung sekitar satu minggu sebelum pemeriksaan yang tidak kunjung membaik serta pada pemeriksaan kultur sekret hidung didapatkan adanya bakteri S. aureus.
Kebiasaan merokok merupakan salah satu faktor yang berhubungan dengan perubahan respons imun yang terjadi pada penyakit granulomatosis Wegener. Kandungan dalam asap rokok memengaruhi respons imun berupa terganggunya fungsi sel T dan peningkatan limfosit sitotoksik cluster of differentiation (CD) 8+ sehingga terjadi efek imunosupresi.21 Nikotin merupakan salah satu komponen utama asap rokok dengan efek langsung pada epitel hidung, sel endotelial dan keratinosit yang mengganggu fungsi sel T dan Fas/Fas ligand pada limfosit.22,23 Carbon monoxide dapat menghambat apoptosis sel otot polos vaskular, trombosis dan mekanisme terjadinya vaskulitis.24 Pasien pada kasus ini diketahui memiliki kebiasaan merokok 4 batang per hari selama lebih dari 10 tahun.
Manifestasi kulit granulomatosis Wegener dapat berupa purpura, nodul, papul, ulserasi dan nodul subkutaneus yang menyerupai eritema nodusum profunda.10,17 Pada beberapa pasien didapatkan lesi mukosa oral dan hipertrofi gusi “raspberry”.17 Pada kasus ini didapatkan bercak kemerahan disertai pengelupasan pada beberapa area kulit. Ujud kelainan kulit regio fasialis tampak purpura multipel diskret dan pada hidung tampak saddle nose serta regio ekstremitas superior dan inferior pasien juga tampak adanya purpura multipel diskret. Saddle nose merupakan deformitas yang terjadi akibat edema berulang dan kerusakan kartilago hidung akibat fibroblas pada pasien granulomatosis Wegener.23,25 Kesel dkk. (2012) melaporkan bahwa fibroblas melepaskan cytokine proinflamasi seperti IL-6 dan IL-8 serta matrix metalloproteinase (MMP)-1, MMP-3, MMP-13 yang menyebabkan terjadinya kerusakan kartilago hidung pasien granulomatosis Wegener.25
Gejala yang timbul pada granulomatosis Wegener awalnya berupa gejala ringan nonspesifik seperti pilek berulang disertai sekret, nyeri otot, artralgia, anoreksia, nyeri otot dan penurunan berat badan yang dapat berkembang progresif dengan gambaran klinis yang lebih berat.2,24 Morillo dkk. (2012) melaporkan gejala klinis yang paling banyak ditemukan pada penderita granulomatosis Wegener adalah keterlibatan saluran pernapasan atas serta gejala pada telinga, hidung dan tenggorokan (THT) seperti sinusitis, rinore maupun perforasi septum nasal.26 Infeksi berulang pada hidung, sinus dan duktus nasoklarimal sering ditemukan dan berperan dalam hilangnya fungsi sawar pada hidung, stenosis duktus serta defisiensi imun.24 Gejala pada paru-paru meliputi batuk, sesak napas, nyeri dada dan muntah darah. Perdarahan alveolus merupakan salah satu manifestasi klinis yang parah dan dapat menyebabkan gagal napas pada penderita granulomatosis Wegener.14 Manifestasi khas granulomatosis Wegener pada ginjal yaitu glomerulonefritis nekrotikans segmental fokal yang kadang disertai adanya mikrohematuria dan proteinuria.1,14 Keterlibatan mata juga ditemukan pada 14-60% kasus granulomatosis Wegener antara lain episkleritis nodular nekrotikans, skleritis, ulserasi kornea dan vaskuitis retina.1 Manifestasi sistemik granulomatosis Wegener juga dapat ditemukan pada jantung berupa perikarditis, efusi perikardia, kardiomiopati, penyakit jantung iskemik dan gagal jantung. Manifestasi granulomatosis Wegener lainnya pada sistem saraf seperti mononeuritis dan neuropati serta saluran pencernaan jarang ditemukan.1,3 Pasien pada kasus ini juga mengeluh demam, hidung tersumbat, keluar cairan bening dari telinga, arthralgia, serta pada pemeriksaan USG ginjal didapatkan parenchymal kidney disease bilateral yang mengarah pada keterlibatan sistemik granulomatosis Wegener pada ginjal.
Diagnosis banding pada kasus ini adalah skleroderma sistemik dan kusta. Skleroderma sistemik merupakan penyakit jaringan ikat kronis yang ditandai dengan mikroangiopati, inflamasi, serta fibrosis pada kulit dan organ internal.27 Etiologi skleroderma sistemik belum diketahui namun diperkirakan terjadi akibat faktor genetik dan lingkungan seperti agen infeksi cytomegalovirus, Epstein-Barr virus serta parvovirus B19.28 Kriteria diagnosis skleroderma sistemik berdasarkan American College of Rheumatology / European League Against Rheumatism meliputi adanya penebalan kulit kedua tangan dan jari, lesi ujung jari, sklerodaktili, telangiektasia, fenomena Raynaud, hipertensi arteri pulmonal, kelainan kapiler kuku serta pemeriksaan antibodi ANA antisentromer, antitopoisomerase I dan anti-RNA polimerase III. Kriteria American College of Rheumatology harus terpenuhi dengan jumlah skor ≥9 untuk penegakkan diagnosis skleroderma sistemik.28,29 Fenomena Raynaud merupakan fenomena vasospastik yang dapat disebabkan oleh dingin atau stres dan biasa terjadi pada jari tangan, kaki serta jarang pada hidung, telinga atau puting payudara.30 Pemeriksaan stimulasi dingin dapat digunakan untuk memicu gejala fenomena Raynaud yaitu dengan memasukkan tangan ke dalam air es selama beberapa menit dan menghitung waktu yang diperlukan suhu tangan kembali normal.30 Pemeriksaan fenomena Raynaud pasien didapatkan hasil positif, di mana suhu tangan kembali ke suhu normal setelah lebih dari 20 menit. Kulit sklerosis merupakan manifestasi kulit pada skleroderma sistemik yang diawali dengan nonpitting edema pada jari-jari tangan, kemudian terjadi penebalan dan menyebabkan sklerodaktili.31 Pasien pada kasus ini mengeluhkan adanya kekakuan pada tangan dan kaki. Pemeriksaan ANA pada pasien ini didapatkan hasil negatif. Penilaian skor menurut kriteria American College of Rheumatology pada pasien ini adalah 7 sehingga diagnosis skleroderma sistemik dapat disingkirkan.
Kusta merupakan penyakit infeksi kronis yang disebabkan oleh Mycobacterium leprae, yang terutama menyerang makrofag dalam jaringan kulit dan sel Schwann saraf perifer.32 Berdasarkan 8th report of the WHO Expert Committee, diagnosis kusta perlu dipertimbangkan apabila terdapat manifestasi kulit kemerahan, penurunan sensasi pada bercak dan rasa kesemutan serta nodul pada wajah atau daun telinga.33 Klasifikasi Ridley-Jopling berdasarkan gambaran klinis, histopatologis, bakteriologis dan imunopatologis membagi kusta menjadi 5 spektrum klinis yaitu true tuberculoid (TT), borderline tuberculoid (BT), midborderline (BB), borderline lepromatous (BL) dan lepromatous leprosy (LL).34 Kusta tipe LL mempunyai gambaran klinis berupa bercak kemerahan atau kecoklatan, hipopigmentasi berbatas tegas, multipel dan simetris.35,36 Gambaran klinis tipe LL lain yang dapat ditemukan adalah keterlibatan mukosa hidung yang mengarah terhadap destruksi septum dan deformitas tulang hidung yang disebut saddle nose.33 Pada kasus ini terdapat bercak kemerahan pada wajah disertai kekakuan pada tangan dan kaki serta ditemukan adanya saddle nose. Pada pemeriksaan sensoris didapatkan adanya hipoestesi pada kedua tangan namun pada pemeriksaan slit-skin smear BTA tidak didapatkan bakteri tahan asam, sehingga diagnosis banding kusta dapat disingkirkan.
Penegakkan diagnosis granulomatosis Wegener dapat menggunakan beberapa pemeriksaan penunjang seperti pemeriksaan biopsi histopatologi, pemeriksaan ANCA terhadap proteinase 3 (PR3) dan myeloperoxidase (MPO) serta pemeriksaan radiologi.37 Gambaran histopatologi granulomatosis Wegener bervariasi dan tidak spesifik. Beberapa gambaran tersebut antara lain gambaran inflamasi akut dan kronis, fokus granuloma, deposisi collagen, nekrosis, sel plasma dan infiltrat eosinofil, limfosit serta histiosit yang membentuk reaksi granulomatosa dengan sel raksasa multinuklear (gambar 3).5,6,12 Pasien pada kasus ini menunjukkan gambaran histopatologi sesuai dengan teori, di mana lapisan epidermis tampak proliferasi padat sel-sel limfosit, perivaskular infiltrat dan sedikit sel neutrofil. Lapisan dermis menunjukkan granuloma-granuloma yang terdiri atas banyak histiosit epiteloid dan makrofag berbuih serta pembuluh darah yang rusak dengan infiltrasi neutrofil pada dinding serta ekstravasasi eritrosit.

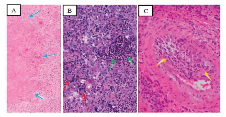
Gambar 3. Pemeriksaan histopatologi granulomatosis Wegener. (A) Lapisan epidermis menunjukkan gambaran nekrosis (panah biru) (HE, 4x), (B) Lapisan dermis tampak proses inflamasi dengan mikroabses (panah hijau) dan sel raksasa multinuklear di dalam granuloma dengan batas tidak tegas (panah merah) (HE, 40x), (C) vaskulitis arteriolar dengan infiltrasi limfosit, sel plasma dan histiosit (panah kuning) (HE, 40x).6
Pemeriksaan ANCA merupakan pemeriksaan yang sering dilakukan untuk menegakkan diagnosis granulomatosis Wegener.38 Antineutrophil cytoplasmic antibodies merupakan antibodi yang dapat mengenali antigen pada granul azurofilik dalam sitoplasma neutrofil.39 Dua target utama pemeriksaan ANCA adalah PR3 dan MPO dimana PR3 dapat ditemukan pada permukaan neutrofil sementara MPO tidak ditemukan.5 Pasien granulomatosis Wegener umumnya berhubungan dengan PR3-ANCA, di mana diperkirakan 82-94% menunjukkan hasil positif, namun demikian sensitivitas pemeriksaan ANCA terbatas serta tergantung pada perluasan aktivitas penyakit.38,39 Hasil pemeriksaan ANCA negatif ditemukan pada 10-20% kasus dan pada 40% pasien dengan granulomatosis Wegener ringan sehingga hasil negatif tidak dapat langsung menyingkirkan diagnosis granulomatosis Wegener.2,12,39 Hasil negatif dapat disebabkan oleh dua kemungkinan, yaitu apabila titer belum mencukupi atau kasus granulomatosis Wegener terjadi pada onset awal.2 Kim dkk. (2013) melaporkan kasus granulomatosis Wegener dengan hasil pemeriksaan ANCA negatif.11 Hal ini serupa dengan pasien pada kasus ini di mana pemeriksaan ANCA dan antinuclear antibodies (ANA) menunjukkan hasil negatif. Hasil ANCA negatif pada pasien ini mungkin disebabkan karena gejala klinis pasien terjadi pada onset awal dan bersifat relatif ringan.
Pemeriksaan radiologi dapat digunakan untuk melihat keterlibatan penyakit pada berbagai organ. Keterlibatan ginjal ditemukan pada sekitar 80-90% pasien granulomatosis Wegener.6 Granulomatosis Wegener dapat menyebabkan glomerulonefritis nekrotikans segmental yang tidak terlihat dengan menggunakan pemeriksaan radiologi namun dapat bermanifestasi klinis pada proteinuria, mikrohematuria, dan hipertensi.40 Leung dkk. (2004) melaporkan manifestasi granulomatosis Wegener yang langka berupa massa multipel pada kedua ginjal.41 Proteinuria maupun hematuria tidak ditemukan pada kasus ini. Pemeriksaan USG pada pasien kasus ini menunjukkan adanya parenchymal kidney disease pada kedua ginjal yang menandakan adanya kelainan pada ginjal pasien namun tidak spesifik dan membutuhkan pemeriksaan lebih lanjut.
Terapi granulomatosis Wegener terdiri atas 2 fase yaitu fase awal selama 3-6 bulan untuk mencapai remisi dan fase pemeliharaan selama 12-24 bulan untuk mencegah terjadinya kekambuhan.7 Terapi standar baku emas untuk granulomatosis Wegener adalah kombinasi corticosteroid dan immunosuppressant, namun dapat juga diberikan salah satunya.2 Pemberian cyclophosphamide dan corticosteroid merupakan terapi yang efektif untuk granulomatosis Wegener aktif.25 Dosis corticosteroid oral awal yang direkomendasikan sebesar 1 mg/ kg/hari dan pada kasus yang lebih berat dapat diberikan injeksi methylprednisolone dengan dosis 15 mg/kg/hari selama 3 hari pertama sebelum pemberian per oral.1 Pemberian cyclophosphamide dengan dosis 2 mg/kg/hari sebagai terapi granulomatosis Wegener dapat disesuaikan dengan respons terapi.14 Terapi cyclophosphamide dapat menyebabkan beberapa efek samping seperti infeksi pneumonia Pneumocystic jiroveci, sistitis, mielodisplasia, infertilitas dan efek teratogenik.42 Terapi fase pemeliharaan granulomatosis Wegener mengombinasikan corticosteroid oral dengan azathioprine atau methotrexate.1 Pemberian azathioprine dengan dosis awal 2-3 mg/kg/hari disesuaikan dengan respons terapi pasien dapat dinaikkan hingga 25 mg per minggu. Efek samping azathioprine meliputi mielosupresi dan hepatotoksisitas yang berhubungan dengan mutasi thiopurine methyltransferase.14,43 Efek samping azathioprine pada pemberian jangka panjang relatif lebih ringan dibandingkan cyclophosphamide. Methotrexate diberikan dengan dosis mingguan sebesar 0,3 mg/kg namun efek samping seperti toksisitas hepar, pneumonia, hipersensitivitas dan hipoplasia medular sementara dapat terjadi pada pemberian methotrexate. Pagnoux dkk. (2008) melaporkan bahwa pemberian azathioprine dan methotrexateselama 12 minggu memiliki efektivitas yang serupa sebagai terapi fase pemeliharaan pasien granulomatosis Wegener.44 Pemberian immunoglobulin intravena dengan dosis 2 g/ kg setiap bulan direkomendasikan untuk pasien granulomatosis Wegener yang mengalami kekambuhan dan menderita insufisiensi renal.15 Efek samping terapi granulomatosis Wegener meliputi peningkatan risiko keganasan, terjadinya kegagalan organ, infeksi, osteoporosis, penyakit kardiovaskular dan gastritis. Kejadian infeksi pada dua bulan pertama terapi granulomatosis Wegener cukup sering ditemukan, seperti infeksi jamur yang dapat diatasi dengan pemberian nystatin. Pemberian antagonis reseptor histamin-2 dan proton pump inhibitor dapat diberikan untuk mencegah terjadinya gastritis yang disebabkan oleh penggunaan steroid dosis tinggi. Vitamin D, kalsium dan bisphosphonate dapat diberikan untuk mencegah osteoporosis.13,45 Pasien pada kasus ini mendapatkan terapi dari departemen penyakit dalam berupa infus NaCl 0,9% 20 tpm, ampicillin intravena 1 g tiap 6 jam, methylprednisolone intravena 62,5 mg tiap 12 jam, paracetamol 500 mg tiap 8 jam, KSR 600 mg tiap 8 jam, CaCO3 tablet tiap 8 jam, gabapentin 300 mg tiap 8 jam, azathioprine 50 mg tiap 12 jam. Pasien juga mendapatkan mometasone 0,1% topikal sehari dua kali pada area lesi kemerahan dan urea 10% pada area seluruh tubuh. Pasien menunjukkan perbaikan klinis yang cukup bermakna dengan berkurangnya purpura pada seluruh tubuh pada lima minggu pertama setelah mendapatkan terapi (gambar 4).

Gambar 4. Status lokalis. (A) Pada regio fasialis tampak saddle nose dan purpura multipel diskret. (B-D) Pada regio ekstremitas superior dan inferior tampak purpura multipel diskret, (E-H) 5 minggu setelah pemberian terapi didapatkan perbaikan klinis yang cukup bermakna dengan berkurangnya purpura multipel diskret.
Granulomatosis Wegener merupakan penyakit yang memiliki prognosis buruk apabila tidak mendapatkan terapi.1 Prognosis granulomatosis Wegener berhubungan dengan beberapa faktor seperti usia lanjut dan komplikasi organ sehingga memiliki tingkat mortalitas sebesar 90% pada dua tahun pertama.14,18 Penyebab utama mortalitas pada pasien granulomatosis Wegener adalah infeksi (32%) dan gagal ginjal (18%). Kekambuhan sering terjadi pada pasien granulomatosis Wegener, di mana diperkirakan 25% pasien mengalami kekambuhan dalam waktu 2 tahun dan lebih dari 50% pasien dalam 5 tahun.1 Pada kasus ini kami melakukan follow-up selama lima minggu setelah pemberian terapi awal dan kontrol setiap satu bulan.
RINGKASAN
Seorang pria berusia 38 tahun, konsulan dari bagian penyakit dalam datang ke poliklinik ilmu kesehatan kulit dan kelamin RSUD Dr. Moewardi Surakarta dengan keluhan muncul bercak kemerahan dan kaku pada wajah, tangan dan kaki. Dari hasil autoanamnesis, pemeriksaan laboratorium, histopatologi dan radiologi pasien didiagnosis dengan granulomatosis Wegener. Pemeriksaan ANCA pasien ini didapatkan hasil negatif. Hasil negatif pasien ini mungkin disebabkan karena gejala klinis pasien terjadi pada onset awal dan bersifat ringan. Pasien pada kasus ini mendapatkan terapi dari departemen penyakit dalam berupa infus NaCl 0,9% 20 tpm, ampicillin intravena 1 gr tiap 6 jam, methylprednisolone intravena 62,5 mg tiap 12 jam, paracetamol 500 mg tiap 8 jam, KSR 600 mg tiap 8 jam, CaCO3 tablet tiap 8 jam, gabapentin 300 mg tiap 8 jam, azathioprine 50 mg tiap 12 jam. Pasien juga mendapatkan mometasone 0,1% topikal sehari dua kali pada area lesi kemerahan dan urea 10% pada area seluruh tubuh. Lima minggu setelah pemberian terapi pasien menunjukkan perbaikan yang ditandai dengan lesi kulit yang semakin berkurang serta bercak kemerahan menghilang. Terapi fase awal granulomatosis Wegener adalah kombinasi corticosteroid dan cyclophosphamide, namun dapat juga diberikan salah satunya. Terapi fase pemeliharaan berupa corticosteroid dan azathioprine atau methotrexate.
DAFTAR PUSTAKA