Pneumothorax Spontan pada Pasien Penyakit Paru Obstruktif Kronis
Davidtuan Andartua Sihombing
Davidtuan Andartua Sihombing

Pneumothorax Spontan pada Pasien Penyakit Paru Obstruktif Kronis
Sumber: Medicinus Vol. 36 ISSUE 1, APRIL 2023
Davidtuan Andartua Sihombing
General Practitioner in Emergency Department Ciputra Hospital Citra Raya Tangerang
Abstrak
Pneumothorax spontan sekunder dapat terjadi akibat adanya penyakit paru yang mendasarinya. Penyakit paru obstruktif kronis (PPOK) merupakan penyebab tersering dari pneumothorax spontan sekunder. Kondisi ini dapat berkembang menjadi tension pneumothorax yang berpotensi fatal dan mengancam jiwa. Dalam kasus ini, seorang pria berusia 63 tahun datang dengan keluhan sesak napas berat. Pasien mempunyai riwayat PPOK. Dari foto polos toraks ditemukan adanya pneumothorax di sisi kanan. Kemudian segera dilakukan dekompresi jarum karena dugaan kondisi tension pneumothorax. Setelah dilakukan dekompresi jarum keluhan sesak napas berkurang, kemudian pasien direncanakan untuk menjalani pemasangan water seal drainage di ruang intensive care unit.
Kata kunci: pneumothorax, PPOK, tension pneumothorax
Abstract
Secondary spontaneous pneumothorax occurs due to underlying lung disease. Chronic obstructive pulmonary disease (COPD) is the most common cause of secondary spontaneous pneumothorax. Secondary spontaneous pneumothorax can develop into a life-threatening tension pneumothorax. In this case, a 63-year-old man came with chief complaint of severe shortness of breath. The patient has a history of COPD. Chest X-ray identified a pneumothorax on the right side. Needle decompression then was immediately performed due to suspected tension pneumothorax. After needle decompression, shortness of breath was relieved, and then the patient was planned for water seal drainage insertion in the intensive care unit.
Keywords: pneumothorax, COPD, tension pneumothorax
Pendahuluan
Pneumothorax adalah suatu kondisi penimbunan udara di rongga pleura. Akumulasi udara di rongga pleura menyebabkan tekanan pada paru-paru dan dapat mengakibatkan paru-paru gagal mengembang (collapsed). Pneumothorax dapat dibagi menjadi dua, yakni traumatik dan atraumatik.1
Pneumothorax atraumatik atau pneumothorax spontan adalah kondisi yang menggambarkan perpindahan udara dari paru ke rongga pleura tanpa adanya trauma.1,2 Pneumothorax spontan dibagi menjadi dua subtipe, yakni primer dan sekunder.1,3 Pneumothorax spontan sekunder adalah kondisi yang berlawanan dengan pneumothorax spontan primer, kondisi ini terjadi pada pasien dengan penyakit paru kronis yang mendasarinya, seperti penyakit paru obstruktif kronis (PPOK), penyakit paru interstisial, cystic fibrosis, kanker paru, atau kondisi akut seperti Pneumocystis jirovecii pneumonia atau pneumonitis Covid-19.2
Pneumothorax spontan merupakan permasalahan klinis yang cukup sering dijumpai di Instalasi Gawat Darurat (IGD).4 Pasien mungkin datang dengan gejala seperti takikardia dan sesak napas. Pneumothorax spontan dapat berkembang menjadi tension pneumothorax dengan temuan hipoksia, hipotensi, dan deviasi trakea. Diagnosis pneumothorax didasarkan pada kecurigaan klinis dan dapat dikonfirmasi dengan pemeriksaan radiologi.3
Penyakit paru obstruktif kronis (PPOK) merupakan penyebab tersering kasus pneumothorax spontan sekunder, kasusnya bisa mencapai satu dalam tiga kasus pneumothorax spontan.4 Penyakit paru obstruktif kronis adalah penyakit progresif, di mana fungsi paru memburuk dari waktu ke waktu.5 Karena fungsi paru-paru pada pasien-pasien ini sudah terganggu, pneumothorax spontan sekunder sering muncul sebagai penyakit yang berpotensi mengancam jiwa sehingga membutuhkan tindakan segera.6 Laporan kasus ini memberikan gambaran mengenai kasus pneumothorax spontan dengan PPOK sebagai penyakit yang mendasarinya.
Laporan kasus
Seorang pria berusia 63 tahun dibawa oleh anaknya ke IGD Ciputra Hospital Citra Raya dengan keluhan sesak napas berat. Keluhan sesak napas sudah dirasakan sejak sebulan belakangan, namun memberat sejak beberapa hari terakhir. Pasien kesulitan tidur malam karena sesak yang dirasakan. Sesak napas dirasakan terus menerus, tidak dipengaruhi oleh aktivitas. Batuk dilaporkan ada sejak sebulan terakhir. Nyeri dada dikeluhkan, terutama di sisi sebelah kanan. Demam disangkal. Mual dan muntah disangkal. Buang air kecil dan besar seperti biasa.
Pasien memiliki riwayat penyakit paru obstruktif kronis (PPOK), pasien sering kontrol di poli paru Ciputra Hospital Citra Raya untuk kondisi medis yang dimilikinya tersebut. Riwayat tuberkulosis paru, tuntas minum obat menurut pengakuan pasien, namun pasien tidak ingat waktu pengobatan. Pada bulan Januari 2018, pasien juga pernah mengalami pneumothorax pada paru-paru sebelah kiri dan berobat di Ciputra Hospital Citra Raya. Riwayat diabetes melitus, hipertensi, asma, stroke, sakit jantung, sakit liver disangkal. Riwayat alergi obat disangkal. Riwayat perokok aktif dari usia muda, namun sudah berhenti selama 5 tahun terakhir.
Pada pemeriksaan awal, pasien tampak gelisah dan sesak napas berat. Pasien lebih nyaman dalam posisi duduk. Saat datang pasien dalam keadaan hipoksemia, dengan nilai saturasi oksigen 57%. Kemudian pasien diberikan oksigen dengan non-rebreather mask 15 liter per menit, sehingga saturasi oksigen pasien naik menjadi 88-90%. Frekuensi pernapasan 40 kali per menit, tampak retraksi suprasternal dan interkostal. Frekuensi nadi 124 kali per menit, kuat angkat, dan regular. Akral teraba dingin dengan capillary refill time lebih dari 2 detik, tampak sianosis pada jari tangan. Tekanan darah 144/114 mmHg, suhu 36,4° Celsius, Glasgow Coma Score (GCS) 15/15.
Pada pemeriksaan fisik terlihat usaha bernapas yang sangat besar, pasien hanya merasa nyaman dengan posisi duduk membungkuk, tampak retraksi supraklavikula, retraksi suprasternal, dan retraksi interkostal. Trakea di tengah. Dari pemeriksaan auskultasi didapati suara napas di sisi paru-paru kanan tidak terdengar disertai penurunan vocal fremitus.
Pada pemeriksaan laboratorium dengan sampel darah didapati peningkatan leukosit 19.310/µl; hemoglobin 16,0 g/dl; hematrokit 47 vol%, trombosit 349.000/µl; dan eritrosit 5,5 juta/µl dalam batas normal. Dari hitung jenis didapati penurunan nilai eosinofil (0,1%) dan limfosit (8,6%), serta peningkatan nilai netrofil segmen (87,7%), sementara nilai basofil (0,3%) dan monosit (3,3%) dalam batas normal. Kadar gula darah sewaktu meningkat (213 mg/dl). Rapid test antigen Covid-19 negatif.
Pemeriksaan radiologi foto polos toraks on site dilakukan di IGD, dan hasil yang didapat adalah gambaran pneumothorax di sisi paru-paru kanan, dengan ukuran sekitar 28%. Bercak infiltrat diffuse pada lapangan paru-paru bilateral, terutama lapangan atas kedua paru-paru. Efusi pleura bilateral. Tidak tampak kelainan pada jantung saat ini.
Berdasarkan pemeriksaan klinis, laboratorium, dan radiologi pasien didiagnosis banding dengan kecurigaan terjadinya tension pneumothorax akibat komplikasi dari PPOK. Kecurigaan terjadinya tension pneumothorax didasarkan pada temuan takipnea, takikardi, dan hipoksia pada pasien ini.

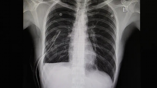
Gambar 1. Foto polos toraks menunjukkan adanya gambaran pneumothorax di sisi kanan paru-paru.
Terapi yang diberikan di IGD adalah terapi nebulasi salbutamol:ipratropium bromide. Setelah nebulasi yang pertama pasien masih merasa sesak dan diberikan terapi nebulasi kedua dengan obat yang sama. Pasien juga mendapatkan terapi injeksi methylprednisolone 62,5 mg dan injeksi ranitidine 50 mg. Setelah hasil foto polos toraks keluar, maka dilakukan edukasi kepada keluarga pasien untuk tindakan dekompresi jarum (needle decompression) segera. Setelah keluarga menyetujui maka dilakukan tindakan dekompresi jarum pada sela iga kedua di linea midklavikula. Dekompresi jarum menggunakan kateter intravena ukuran 14G.
Satu jam setelah dilakukan dekompresi jarum, pasien merasakan sesak napasnya berkurang, pasien mulai merasa nyaman duduk bersandar dan retraksi berkurang. Pada pemeriksaan auskultasi, suara napas sisi paru-paru kanan mulai terdengar, meskipun masih lebih lemah dibanding suara napas di sisi paru-paru kiri. Tanda-tanda vital setelah dilakukan dekompresi jarum sebagai berikut: tekanan darah 108/75 mmHg, frekuensi nadi 110 kali per menit, frekuensi napas 30 kali per menit, dan saturasi oksigen 95-96% dengan oksigen non- rebreather mask 10 liter per menit. Hasil pemeriksaan radiologi foto polos toraks setelah dekompresi jarum adalah tampak penurunan volume pneumothorax pada hemitoraks sisi kanan, dengan ukuran sekitar 15%, dari sebelumnya 28%. Tampak pengurangan densitas bercak infiltrat pada lapangan paru-paru sisi kanan. Bercak infiltrat pada lapangan paru-paru sisi kiri tidak tampak perubahan. Efusi pleura bilateral relatif status quo ad anthem. Tidak tampak kelainan pada cor saat dilakukan pemeriksaan.

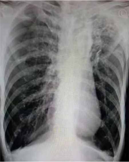
Gambar 2. Foto polos toraks setelah dekompresi jarum. Gambaran pneumothorax di sisi kanan telah berkurang dibanding sebelumnya.
Setelah dilakukan tindakan dan pasien dalam kondisi yang relatif stabil, pasien dipindahkan ke ruang rawat intensive care unit (ICU) untuk rawat inap dengan pemantauan lebih ketat serta direncanakan untuk menjalani pemasangan water seal drainage (WSD).
Diskusi
Penyakit paru obstruktif kronis (PPOK) adalah penyakit pernapasan yang ditandai dengan adanya keterbatasan aliran udara yang persisten dan umumnya bersifat progresif, berhubungan dengan respons inflamasi kronis yang berlebihan pada saluran napas dan parenkim paru- paru akibat riwayat paparan gas atau partikel berbahaya. Karakteristik hambatan aliran udara pada PPOK disebabkan oleh gabungan antara obstruksi saluran napas kecil (bronkiolitis obstruktif) dan kerusakan parenkim (emfisema).5,7 Hambatan ini bervariasi pada setiap individu. Hal ini terkait dengan perubahan struktural paru-paru karena peradangan kronis akibat paparan partikel atau gas berbahaya yang berkepanjangan, paling sering adalah akibat asap rokok. Peradangan kronis menyebabkan penyempitan saluran napas dan penurunan recoil paru-paru. Penyakit ini sering muncul dengan gejala batuk, dispnea, dan produksi sputum. Gejala dapat berkisar dari tanpa gejala hingga gagal napas.5,8 Salah satu komplikasi dari PPOK adalah pneumothorax.5,7,8
Pneumothorax adalah kondisi penimbunan udara di rongga pleura. Pneumothorax dapat dibagi menjadi dua, yakni traumatik dan atraumatik.1 Pneumothorax atraumatik atau pneumothorax spontan adalah kondisi yang menggambarkan perpindahan udara dari paru ke rongga pleura tanpa adanya trauma.1,2 Pneumothorax spontan dibagi menjadi dua subtipe, yakni primer dan sekunder.1,3 Pneumothorax spontan sekunder adalah kondisi yang berlawanan dengan pneumothorax spontan primer, kondisi ini terjadi pada pasien dengan penyakit paru yang mendasarinya, seperti penyakit paru obstruktif kronis (PPOK).2
Pneumothorax spontan sekunder lebih banyak terlihat pada pasien usia lanjut (60-65 tahun). Insiden pneumothorax spontan sekunder masing-masing adalah 6,3 dan 2 kasus untuk pria dan wanita per 100.000 pasien. Rasio laki-laki dibanding perempuan adalah 3:1. Penyakit paru obstruktif kronis menjadi penyebab kejadian 26 pneumothorax per 100.000 pasien.1 Penyakit paru obstruktif kronis merupakan penyebab tersering pada pneumothorax spontan sekunder, kasusnya bisa mencapai sepertiga kasus pneumothorax spontan.4
Pneumothorax spontan dianggap paling sering terjadi saat istirahat tanpa riwayat komponen aktivitas. Pasien sering mengeluhkan nyeri dada ipsilateral yang tajam atau sesak napas akut dan peningkatan kerja pernapasan, terutama pasien dengan pneumothorax spontan sekunder. Takikardia adalah salah satu temuan pemeriksaan fisik yang paling umum, namun pada pasien dengan pneumothorax spontan yang lebih kecil (kurang dari 15% dari hemitoraks), hasil pemeriksaan mungkin biasa-biasa saja. Untuk pasien dengan pneumothorax spontan yang lebih besar (lebih dari 15%), dapat terjadi penurunan gerakan dinding dada, penurunan ipsilateral, atau tidak adanya suara napas, distensi vena jugularis, pulsus paradoksus, hipersonor pada perkusi, dan penurunan vocal fremitus.3
Pneumothorax spontan dianggap sebagai masalah klinis yang umum dan relatif tidak berbahaya, namun dapat mengancam jiwa jika berkembang menjadi tension pneumothorax.3,9 Tension pneumothorax ditandai dengan takikardia progresif, gangguan pernapasan, berkeringat, hipotensi, dan pucat akibat hipoksemia, pergeseran mediastinum, dan penurunan aliran balik vena.9 Penting untuk membuat diagnosis tension pneumothorax pada pemeriksaan fisik.1 Pada kasus ini kecurigaan terjadinya tension pneumothorax oleh penulis didasari hasil temuan dari pemeriksaan fisik seperti takipnea, takikardia, dan hipoksia. Kecurigaan ini kemudian diperkuat dengan hasil radiologi.
Secara teoritis, hipotensi merupakan salah satu penanda kondisi tension pneumothorax, namun hal ini berbeda pada kasus yang penulis dapatkan. Pasien datang dengan tekanan darah yang meningkat. Dalam penelitian Yoon JS, dkk. disebutkan bahwa tension pneumothorax lebih sering terjadi pada kasus PPOK.9 Hipertensi yang dikombinasikan dengan PPOK dapat meningkatkan risiko perkembangan tension pneumothorax.
Foto polos toraks sering digunakan untuk diagnosis awal pneumothorax, karena biayanya yang relatif murah dan mudah dilakukan di samping tempat tidur pasien (bedside). Standar tradisional untuk evaluasi pneumothorax adalah dengan ekspirasi, foto polos toraks dengan posisi tegak. Computerized tomography (CT) scan dada, yang dianggap sebagai standar emas dalam diagnosis pneumothorax, memiliki sensitivitas yang jauh lebih tinggi dibandingkan dengan foto polos toraks.4
Panduan British Thoracic Society (BTS) menguraikan manajemen awal pneumothorax spontan sekunder, jika tidak terdapat gangguan hemodinamik, dengan tiga pilihan terapi:2,3
Jika terdapat gangguan hemodinamik, maka dekompresi jarum harus segera dilakukan dengan menggunakan kateter intravena ukuran 14G di sela iga kedua linea mid klavikula atau sela iga ke empat/kelima linea midaksilaris, kemudian direkomendasikan untuk diikuti dengan penyisipan chest tube drainage.2-4 Pada kasus ini, pasien mengalami gangguan hemodinamik sehingga harus segera dilakukan dekompresi jarum kemudian dilanjutkan dengan pemasangan chest tube drainage.
Beberapa studi awal menunjukkan bahwa suplementasi oksigen dapat membantu mempercepat resolusi pneumothorax, namun harus berhati-hati dalam konteks sistem saraf pusat (SSP) karena banyak pasien dapat berisiko gagal napas tipe 2.2
Tabel 1. Panduan penatalaksanaan pneumothorax4

Kesimpulan
Pneumothorax spontan sekunder merupakan komplikasi yang sering dialami oleh penderita penyakit paru obstruktif kronis. Pasien umumnya mengalami keluhan berupa nyeri dada, sesak napas, dan takikardia. Diagnosis dapat ditegakkan melalui pemeriksaan radiologi berupa foto polos toraks dan CT scan dada yang merupakan standar baku emas diagnosis pneumothorax. Pada kasus tertentu, pneumothorax spontan sekunder dapat berubah menjadi tension pneumothorax. Tata laksana pada kasus pneumothorax spontan sekunder dapat dilakukan secara konservatif, needle aspiration, dan chest tube drainage. Pada kasus tension pneumothorax, maka harus segera dilakukan tindakan needle decompression.
DAFTAR PUSTAKA