Pneumotoraks Spontan Sekunder akibat Tuberkulosis Paru
Viktoria Thanita
Viktoria Thanita

Pneumotoraks Spontan Sekunder akibat Tuberkulosis Paru
Sumber: Medicinus Vol. 37 ISSUE 1, MARCH 2024
https://medicinus.co/journal/article/view/medicinus-vol37-no1-45-48
Viktoria Thanita
Departemen Pulmonologi, RS Murni Teguh Medan
Abstrak
Pneumotoraks spontan sekunder merupakan salah satu kondisi yang mengancam nyawa, berupa masuk dan terkumpulnya udara di dalam rongga pleura, dan umumnya merupakan komplikasi dari perjalanan penyakit tuberkulosis (TB) paru. Berdasarkan Global TB Report 2018, diperkirakan pada tahun 2017 di Indonesia terdapat 842.000 kasus TB baru (319 per 100.000 penduduk). Indonesia menempati peringkat ketiga sebagai negara kasus TB paru tertinggi di dunia. Sementara berdasarkan data nasional, diperkirakan terdapat 12.000 kasus pasien TB paru yang ternotifikasi yang berasal dari 1,2% kasus baru dan 13% kasus pengobatan berulang. Angka kejadian pneumotoraks spontan sekunder yang disebabkan oleh TB paru adalah yang terbesar dengan proporsi 46,15% dari seluruh kasus pneumotoraks spontan sekunder. Tata laksana pada kasus pneumotoraks spontan sekunder akibat TB paru adalah dengan pembedahan (torakotomi), dan prosedur nonpembedahan (oksigen, water sealed drain/WSD), serta pengobatan dengan obat antituberkulosis.
Kata kunci: pneumotoraks, pneumotoraks spontan sekunder, TB paru
Abstract
Secondary spontaneous pneumothorax due to lung tuberculosis is a life-threatening condition, and defined as the sudden presence of air in the pleural cavity, mostly associated with complication from lung tuberculosis. Based on The Global TB Report 2018, it is estimated that in 2017, there were 842.000 new TB cases (319 per 100.000 population) in Indonesia. Indonesia has the third highest burden of TB in the world. Based on national data, there are 12.000 estimated cases (notified lung TB cases), comprising 1,2% of new cases and 13% of recurrence cases. Incidence of secondary spontaneous pneumothorax due to lung tuberculosis has the highest proportion (46,15%) among all secondary spontaneous pneumothorax cases. Management of the secondary spontaneous pneumothorax due to lung tuberculosis can be performed by surgical (thoracotomy) and nonsurgical (oxygen, water sealed drain/WSD) procedure, along with treatment using antituberculosis medications.
Keywords: pneumothorax, secondary spontaneous pneumothorax, lung TB
Pendahuluan
Pneumotoraks spontan sekunder akibat tuberkulosis (TB) paru merupakan salah satu kondisi yang mengancam nyawa, dan didefinisikan sebagai masuk dan terkumpulnya udara dalam rongga pleura, yang banyak disebabkan oleh komplikasi dari perjalanan penyakit TB paru. Berdasarkan Global TB Report 2018, diperkirakan pada tahun 2017 di Indonesia terdapat 842.000 kasus TB baru (319 per 100.000 penduduk).1 Indonesia menempati peringkat ketiga negara dengan kasus TB paru tertinggi di dunia. Sementara itu berdasarkan data nasional, diperkirakan sebanyak 12.000 kasus pasien TB paru yang ternotifikasi yang berasal dari 1,2% kasus baru dan 13% kasus pengobatan berulang. Angka kejadian pneumotoraks spontan sekunder yang disebabkan oleh TB paru adalah yang terbesar dengan proporsi 46,15% dari seluruh kasus pneumotoraks spontan sekunder.1-3
Patofisiologi terjadinya pneumotoraks spontan sekunder akibat TB paru adalah masuknya bakteri Mycobacterium tuberculosis ke saluran pernapasan melalui droplet. M. tuberculosis dengan ukuran sebesar 0,4x3 mikrometer memampukan bakteri ini mencapai kantung alveolar. Masuknya bakteri ke kantung alveolar menyebabkan aktifnya sel makrofag. Apabila M. tuberculosis dapat bertahan dari sel makrofag, maka bakteri tersebut akan keluar dari makrofag yang mati dan menyebar melalui kelenjar getah bening (limfogen), bronkogen, penyebaran langsung (perkontinuitatum), dan darah (hematogen). Kuman M. tuberculosis selanjutnya membentuk sarang pneumonik atau kavitas. Bila terdapat kebocoran antara alveoli dengan rongga pleura, udara akan berpindah dari alveoli ke dalam rongga pleura sampai terjadi tekanan yang sama sehingga paru-paru akan kolaps. Hal yang sama dapat terjadi pada kebocoran di rongga pleura viseral (bronkopleural). Kebocoran tersebut dapat menyebabkan perbedaan tekanan antara tekanan di rongga pleura dengan atmosfer, di mana tekanan di rongga pleural lebih negatif dari atmosfer, sehingga terjadi penurunan kapasitas vital dan PaO2, yang memicu hipoventilasi serta asidosis respiratori.3,4,6
Penegakan diagnosis pneumotoraks spontan sekunder akibat TB paru adalah:3-5
A. Anamnesis
Gejala utama: batuk berdahak lebih dari 2 minggu
Gejala tambahan:
B. Pemeriksaan Fisik
1. Inspeksi
2. Palpasi
3. Perkusi
4. Auskultasi
Pemeriksaan bakteriologis BTA positif: BTA (+)(+) atau BTA(+)(-)
3. Hasil biakan M. tuberculosis positif
+1 bila ditemukan 10-99 BTA dalam 100 lapangan pandang
+2 bila ditemukan 1-10 BTA dalam 1 lapangan pandang
+3 bila ditemukan >10 BTA dalam 1 lapangan pandang
4. Tes cepat molekular: rifampicin-sensitive atau rifampicin-resistant
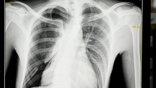
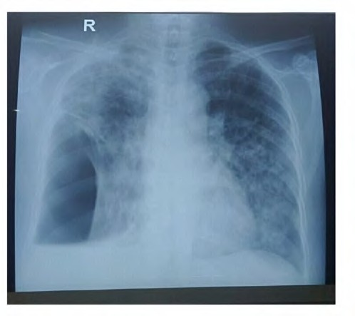
5. Pemeriksaan radiologis

Gambar 1. Gambaran foto toraks pada pasien pneumotoraks sekunder akibat TB paru menggambarkan adanya pneumotoraks di sebelah kanan bawah paru dengan luas menurut kriteria Light sebesar >20%, infiltrat yang sudah menyebar luas di paru kanan dan paru kiri bawah.
Penatalaksanaan pneumotoraks spontan sekunder akibat TB paru adalah:3-5
1. Pembedahan (torakotomi)
Indikasi: pneumotoraks berulang, fistula bronkopleural menetap, pneumotoraks bilateral, Adanya bleb yang besar,hemopneumotoraks: bila darah >1500 cc, perdarahan terus-menerus, penebalan pleura.
2. Nonpembedahan
a. Observasi: berikan oksigen tekanan tinggi dengan luas pneumotoraks minimal atau <20% selama 24-48 jam.
b. Water Sealed Drain (WSD)
Indikasi: pneumotoraks spontan sekunder dengan luas pneumotoraks >20%, atau pneumotoraks spontan sekunder luas pneumotoraks <20% disertai keluhan sesak berat dan/atau disertai kelainan paru kontralateral.
Rekomendasi regimen antituberkulosis:

Kesimpulan
Pneumotoraks spontan sekunder akibat TB paru merupakan salah satu kondisi yang mengancam nyawa, karena keberadaan udara dalam rongga pleura akibat komplikasi dari perjalanan penyakit TB paru. Tata laksana kondisi ini dilakukan berdasarkan klinis dan pemeriksaan penunjang dengan tetap memberikan terapi pada penyakit yang mendasarinya yaitu TB paru.
DAFTAR PUSTAKA